


发现孩子下巴有点翘
下牙包住了上牙?
这可能是“地包天”的征兆
矫正“地包天”的关键在于“早”
抓住以下几个黄金干预期
能有效引导孩子颌面正常发育



反颌,意思是下牙包住上牙,俗称“地包天”,是口腔牙颌面畸形里的常见错合类型。
造成“地包天”的常见病因有:
若家族里有“地包天”病史,孩子出生后警惕将来可能会遗传“地包天”。
造成“地包天”常见的不良习惯包括喂奶姿势不当(孩子抱着奶瓶躺着吃奶)、吮指、咬上唇、伸下巴玩等,若发现建议及时纠正。
鼻炎、扁桃体肥大等上气道堵塞导致孩子张嘴呼吸诱发的舌低位、下颌前伸习惯。若存在前述病因建议及时前往耳鼻喉科接受积极治疗,尽早纠正孩子不良的口周肌肉习惯。
矫正“地包天”的关键在于一个“早”字,其核心治疗原则是:早发现,早干预,早治疗。切记不要抱着“换完牙再说”的想法。
第一个黄金干预时期
孩子乳牙完全萌出,乳牙列已建合,颌骨处于快速发育阶段,可塑性极强。
孩子进入学龄前期,儿童社交能力、逻辑思维和语言能力快速形成,在治疗过程中能形成良好的配合,适应能力强。
通过一些简单的活动或功能矫治器,在短时间内(几个月到一年)内能取得非常好的效果,避免发展为严重的骨性问题。
及时解除下牙对上牙的“锁结”,引导上颌骨向正常方向发育,避免形成“月牙脸”。
常用治疗方法:纠正不良习惯、调磨干扰的乳尖牙、使用活动矫治器(如上颌合垫舌簧矫治器)、功能性矫治器(FrankIII矫治器)等。
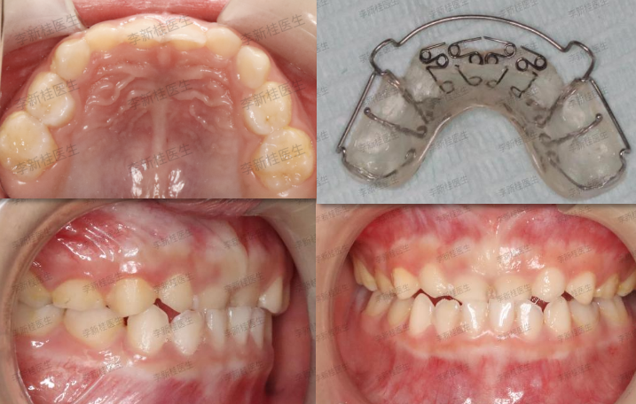
病例一:乳牙列牙性地包天(合垫舌簧矫治)
(滑动查看治疗后效果)
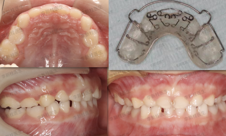
病例二:乳牙功能性地包天(FrankIII功能矫治器)
(滑动查看治疗后效果)
第二个黄金干预时期
孩子进入生长发育高峰期,利用生长发育潜力,通过矫治器可以促进上颌骨发育,使上下颌骨的关系趋于正常。
随着恒牙萌出,一些潜在骨性地包天问题变得更加明显,面部畸形更加显现。
如果已经形成骨性反颌,治疗难度会比乳牙列期大,但依然比成年后简单。
常用治疗方法:继续纠正不良习惯、根据严重程度可能使用:”2×4”、隐形矫治、功能性矫治、前方牵引矫治等。
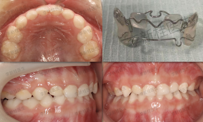
病例一:替牙列反颌(隐形矫治)
(滑动查看治疗后效果)
病例二:轻中度骨性反颌+偏颌
(滑动查看治疗后效果)
第三个黄金干预时期
此时所有恒牙(除智齿外)基本完全萌出。
①矫治牙齿为主:此阶段上颌骨生长潜力已大部分消失,但下颌骨仍有较长的生长期,这种上下颌骨的差异性生长非常不利于“地包天”的矫治,此时若上下颌骨差异并不大,可通过牙齿的代偿矫治,谨慎拔牙,排齐牙齿,建立稳定的咬合关系。
②可能需要等待手术:如诊断为严重的骨性地包天,正畸医生可能会建议孩子继续等待,等生长发育结束(通常18岁后)再配合正畸-正颌联合治疗彻底解决面部颌骨问题。
常用治疗方法:固定矫治器、隐形矫治器是此阶段矫治的主要手段。
颌骨已经定型
成年人颌骨已经定型,无生长潜力。
常用治疗方法:
①单纯正畸代偿治疗:仅限牙性地包天或轻中度的骨性地包天。通过牙齿移动来代偿骨骼的不协调,改善咬合和侧面型,但改善程度有限。
②正畸-正颌联合治疗:对于严重的骨性地包天,这是唯一从根本上改变面型和咬合的治疗方法。

💡给家长的核心建议:
1.不要等!纠正“孩子的牙齿还要换,等孩子换完牙再矫正”的错误观念,存在颌骨畸形的矫治,需要利用孩子的生长发育特点,建议尽早干预。
2.首次正畸检查时间:最晚不应该超过7岁。此阶段存在骨性问题初步显现,及时咨询正畸医生,避免错过最佳治疗时间。
3.早期矫治的意义:引导孩子颌骨的正确发育,避免未来发展成更复杂、更严重的面部畸形。
面对“地包天”
家长的及早发现和果断行动
是孩子的最佳保障
让我们一起守护孩子自信的笑容与未来

供稿:口腔正畸科 李新桂
编辑:陈文
责编:周密
审核:陈晓怡












