官方微信平台,点击上方欢迎订阅
提到“儿童增强扫描”
许多家长感到陌生和焦虑
这检查到底是什么?
为什么非做不可?
要注意哪些细节?
它的原理和注意事项非常简单
今天,我们一次性讲清楚
帮你消除疑虑
配合医生做好准备

增强扫描通常包含平扫和增强两个阶段。医生会先进行快速的无对比剂扫描(平扫),然后注射对比剂,再进行一次扫描。两者对比,才能获得最全面的信息。
简单来说,它就像是平扫的“图像增强工具”。其科学原理在于,病变组织与正常组织通常具有不同的血供特点,而注入对比剂能够凸显并放大这种差异,使医生能更清晰地查看身体内部情况。增强扫描尤其擅长发现那些平扫难以显示的隐藏病灶(炎症、血管问题或肿瘤)。
如下图,通过增强扫描,医生能清晰判断肿瘤与周围重要血管的关系,这对于制定安全的手术方案至关重要。

CT增强扫描示肝巨大占位性病变与重要血管(箭头)的关系
这项检查就像是给医生配了一副“高清放大镜”,无论是评估肿瘤的治疗效果、术后恢复状态,鉴别病灶良恶性,还是发现平扫难以显示的小病灶、血管异常,甚至协助医生制定手术方案,它都能提供重要信息。
增强扫描通过对比剂让原本隐匿的病灶“现形”,有四大核心应用,具体应用包括:
平扫未发现的病灶,增强后可清晰显示。

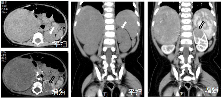
CT增强扫描应用于病变检出
上图,CT平扫左肾占位未见显示(白箭头),CT增强扫描提示左肾占位(黑色空心箭头),增强扫描如同“显影灯”,让平扫中隐匿的左肾占位(白箭)在增强后(黑色空心箭头)清晰显现。
帮助诊断医生区分肿瘤类型(如肝母细胞瘤vs肝婴儿型血管瘤)。

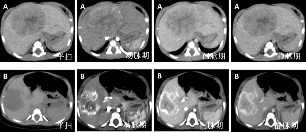
CT增强扫描应用于病变性质鉴别
A.CT平扫+增强扫描检查后诊断为:肝母细胞瘤
B.CT平扫+增强扫描检查后诊断为:肝婴儿型血管瘤
用于复杂病例(如连体婴评估),指导手术方案。

CT增强扫描应用于临床手术方案制定(连体婴)
CT增强扫描应用于临床手术方案制定(肝肿瘤术前方案制定)
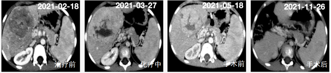
跟踪治疗前后变化,判断效果。

CT增强扫描应用于疗效评价(肝肿瘤治疗前-化疗中-手术前-手术后比较)

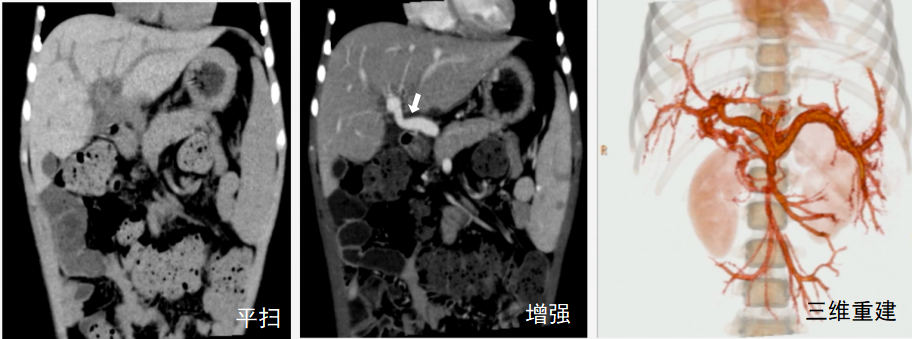
CT增强扫描应用于门脉高压Rex术后吻合血管情况评估(白箭:吻合血管)
►如果有以下情况,务必提前告知医生,评估风险:
绝对禁忌:
肝肾功能不全、严重心肺疾病、甲状腺功能亢进(甲亢)、对碘对比剂(CT)或Gd对比剂(MRI)过敏。
相对禁忌:
· 孕妇(除非紧急情况)。
· 哺乳期妈妈(极少量的对比剂可能进入乳汁,暂停哺乳24小时是为了最大限度保障婴儿安全)。
· 多发性骨髓瘤(尤其伴有肾功能不全时,使用碘对比剂需谨慎,因有诱发肾衰竭的风险)。
►对比剂过敏表现及应对策略
· 轻度反应:皮疹、瘙痒、脸红——通常医生现场观察或用药即可控制。
· 中度反应:呕吐、呼吸困难——立即告知医生或护士并处理。
· 重度反应:过敏性休克(罕见)——检查室备有急救设备,医护人员会全程监控。
建议:检查后留观30分钟,若出现任何异常,及时求助;家长无需过度恐慌,现代医疗措施完善。

增强扫描三步曲:检查前准备、检查中配合、检查后观察。分阶段配合,确保安全高效。
上图展示了检查的全流程,而下面的表格将详细拆解每个阶段的具体任务和注意事项,方便你逐项核对准备。

增强扫描是儿童影像学的重要工具
安全性和有效性已得到验证
请家长们放心
专业的医护人员和你
是站在同一战线的队友
你的冷静和理解是孩子最好的“镇静剂”
让我们携手
为孩子的健康保驾护航!
供稿:放射科 曹雨晴 吴慧莹
编辑:陈文
责编:周密
审核:陈晓怡





